- 大人の矯正
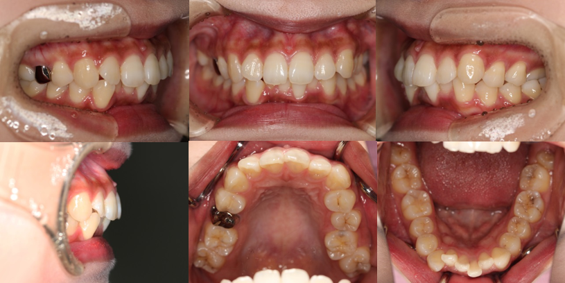
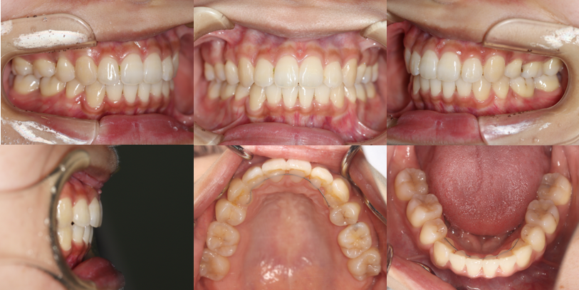
上下顎前突(やや口ゴボ)+叢生(歯のガタガタ)+過蓋咬合(かみ合わせが深い)
-

Before
-

After
| 通院時の年齢: | 28歳 |
|---|---|
| 性別: | 女性 |
| 通院回数: | 26か月 |
| 処置内容: | 上顎右側第二小臼歯・左側第一小臼歯、下顎両側第一小臼歯を抜歯 マルチブラケット装置による表側の全顎矯正(ホワイトシステム) 歯科矯正用アンカースクリュー(インプラントアンカー) |
| 費用: | (矯正装置料+全調整料+保定装置料+消費税):770,000円 |
| メリット: | 口元が後退し、横顔がきれいになる 口が閉じやすくなる 歯のガタガタが改善され、嚙み合わせが緊密になる 歯みがきがしやすくなり、むし歯や歯周病にかかりにくくなる |
| デメリット: | 永久歯を抜歯する 治療期間が長期間にわたる 治療中は時間をかけて歯みがきをしっかりする必要がある |




