- 小児矯正
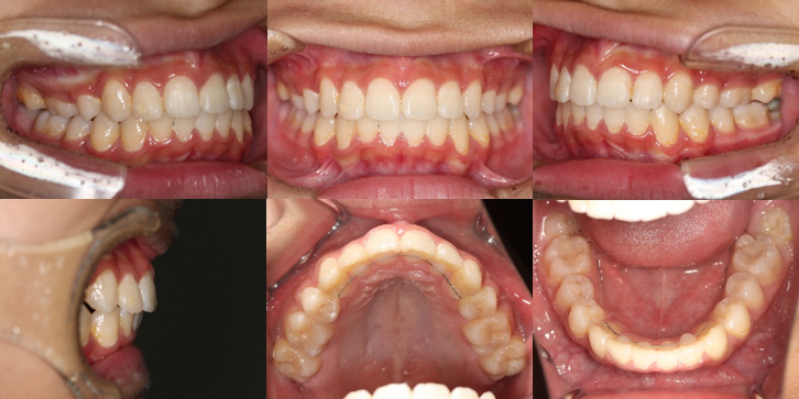
上顎前突(出っ歯)+叢生(歯のガタガタ)+過蓋咬合(かみ合わせが深い)
-

Before
-

After
| 通院時の年齢: | 14歳 |
|---|---|
| 性別: | 男性 |
| 通院回数: | 22か月 |
| 通院目的: | 上顎前歯が前方に傾斜し、口元が前突している状態。 また、歯が並ぶスペースがなく、歯がデコボコに並んでおり、かみ合わせが深くなっている。 |
| 処置内容: | 上顎両側第一小臼歯を抜歯 マルチブラケット装置による表側の全顎矯正(ホワイトシステム) |
| 費用: | (矯正装置料+全調整料+保定装置料+消費税):737,000円 |
| メリット: | 口が閉じやすくなる 口元が後退し、横顔がきれいになる 歯のガタガタが改善され、嚙み合わせが緊密になる 歯みがきがしやすくなり、むし歯や歯周病にかかりにくくなる |
| デメリット: | 永久歯を抜歯する 治療期間が長期間にわたる 治療中は時間をかけて歯みがきをしっかりする必要がある |



